歯周病ってどんな病気?
歯周病とは、名前のとおり歯の周りの組織(歯肉〈歯ぐき〉や歯槽骨〈あごの骨:歯を支えている土台の部分〉)の病気です。
歯周病は大きく歯肉炎と歯周炎に分けられます。
歯肉炎

- 歯肉炎は、歯周病の始まりで、炎症が歯肉に限局して起こります。
- 歯肉が赤く腫れたり、出血しやすくなります。
歯周炎

- 歯肉炎を放置しておくと、さらに炎症が進行し、歯周炎となります。
- 歯槽骨の破壊が起こり、ついには歯が抜け落ちてしまうこともあります。

健康な歯肉
(1)三角形…歯と歯の間は鋭角
(2)明るくピンク色
(3)硬く弾力性あり

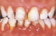
歯肉炎の歯肉
(1)やや丸い…歯と歯の間はやや丸みを帯びている
(2)赤い
(3)柔らかい
(4)出血…さわると血が出る、痛くないのに血が出る

歯周炎の歯肉
(1)歯肉が退縮して歯根が露出
(2)歯がグラグラする
(3)膿が出る
(4)口臭がある
歯周病はこうして進行する。
歯周組織の炎症により、歯と歯肉の間の溝(歯肉溝)が、病的に深くなります。
これを歯周ポケットと言います。

- 歯周病が、重症化するにしたがい、歯周ポケットがどんどん深くなっていきます。
- 歯槽骨の破壊とともに歯はぐらつき、歯根(歯の根の部分)の長さの半分以上に骨が吸収された重度の歯周炎では、自然に抜け落ちることもあります。
歯周病の原因
歯周病は、細菌による感染症です。

自覚症状がほとんどないまま、慢性的に炎症がずっと続き、一時的な治療だけでは完治することがないため、継続した管理が必要となります。
犯人は、やはりプラーク(歯垢)
- 私たちの口の中には、百種類以上もの細菌が住みついています。これを口腔内常在菌といいます。
- この口腔内常在菌の中にいる歯周病の原因となる細菌が、プラークの中に住みつき、悪さをします。
- 特に、歯と歯の間にある歯周ポケットを好み、歯周組織を破壊するために様々な働きをします。
- プラークは、うがいだけでは除去できないため、歯ブラシなどで機械的に取り除くことが必要です。
- プラークが唾液中のカルシウムによって石灰化したものを、歯石といいます。 歯石は、プラークのさらなる温床となります。歯ブラシでは取れないので、歯科医院で取ってもらいましょう。
この記事に関するお問い合わせ先
健康づくり支援課 歯科保健係
住所: 950-8570 新潟市中央区新光町4番地1
電話: 025-280-5934 ファクシミリ: 025-285-8757






更新日:2019年03月27日